Same-Day Emergency Appointments Available
Same-Day Emergency
Appointments Available
Severe pain, a broken tooth, or sudden dental trauma can't wait — and neither should you.
Trusted emergency dentistry backed by experienced clinicians and cutting‑edge technology right here in Arlington Heights.
Know The Signs
Not sure if your situation requires urgent care? Here are the most common dental
emergencies — if you're experiencing any of these, don't wait.
Intense, throbbing pain that won't stop needs immediate professional attention.
Time is critical — quick action can save your tooth.
Facial swelling or fever could indicate a dangerous infection.
Exposed teeth are vulnerable to further damage and pain.
Damaged braces, retainers or dentures causing irritation.
Contact us right away for prompt attention and pain relief.
Our Services
We'll determine the right solution and relieve your pain immediately.
We prioritize urgent cases and do our best to fit you in today.
Our team quickly assesses your condition with advanced imaging and exams.
Severe toothaches and infections
Lost restorations: crowns, fillings, bridges
Cracked, chipped or knocked-out teeth
Emergency repair of broken dentures or appliances
Patient Stories
Watch more patient stories and see why people trust us when pain can't wait.
We understand emergencies need immediate action.
Compassionate, skilled care when every minute counts.
Precise diagnostics for quick, accurate treatment planning.
We work with most plans to make care affordable.
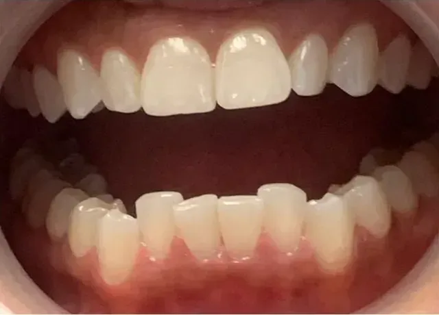
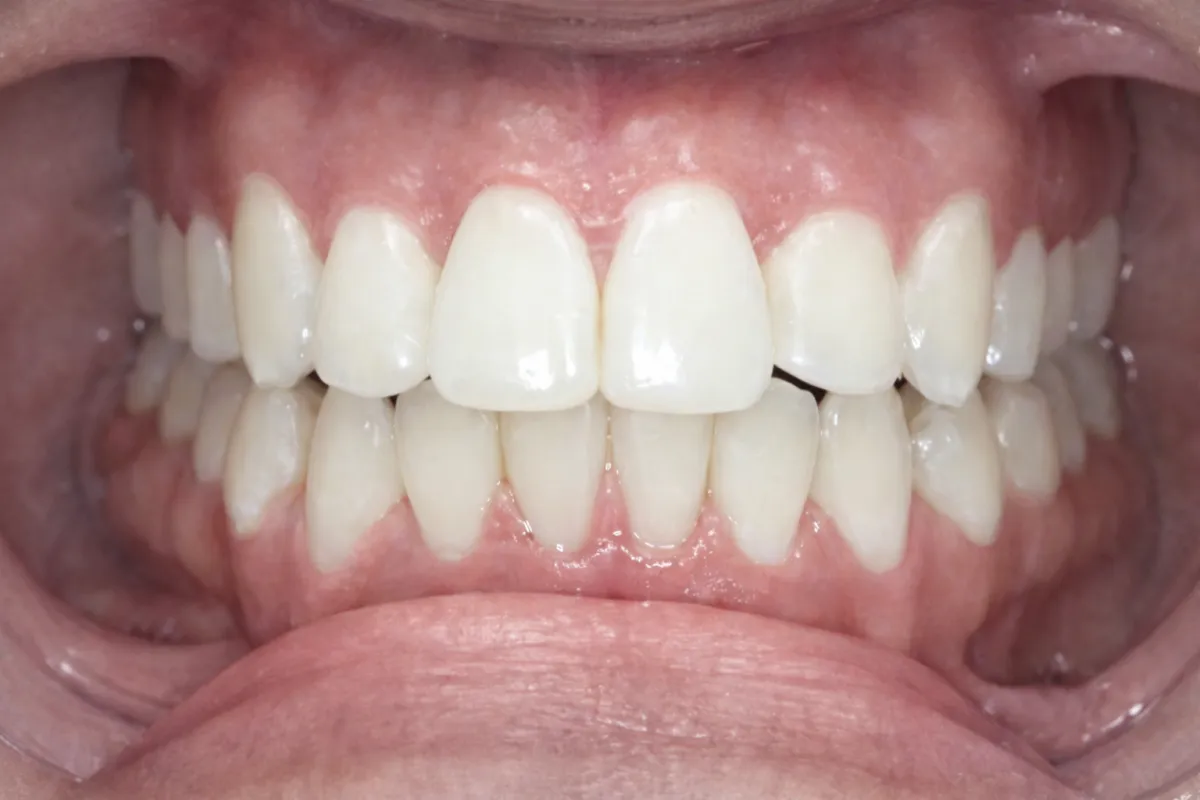
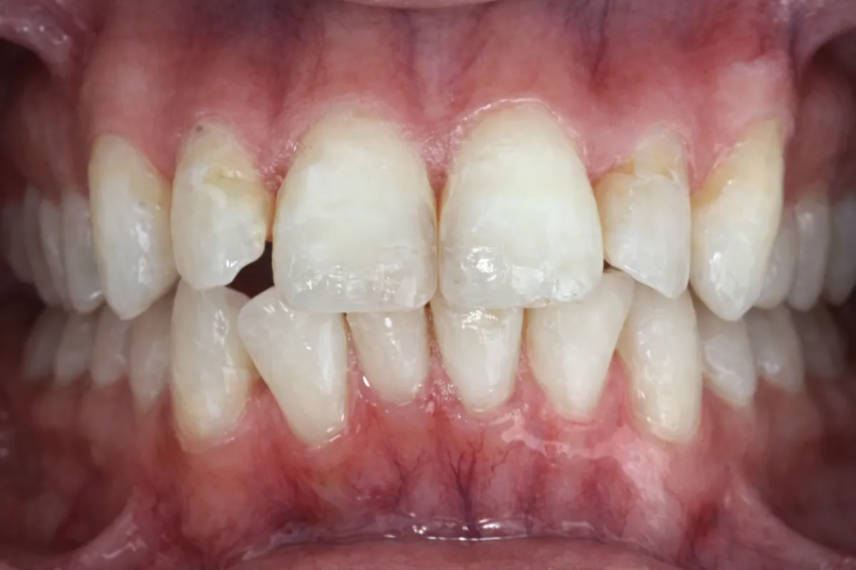
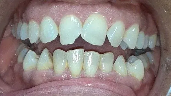
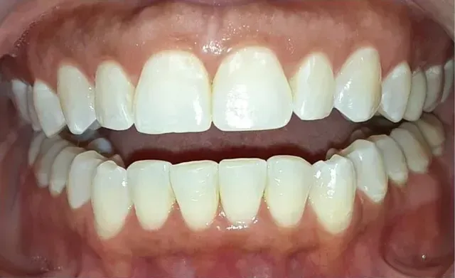
Results
From urgent pain to restored smile — here's how our emergency team helps you bounce back.
"Click on the arrows to see the before & after images."
From urgent pain to restored smile — here's how our emergency team helps you bounce back. "Click on the arrows to see the before & after images."
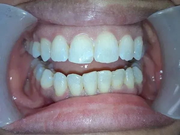
Improves tooth alignment, bite balance, and overall smile appearance
Improves tooth alignment, bite balance, and overall smile appearance
Brightens your smile for a cleaner, whiter, more confident look.
Testimonials
Dr. Thind is amazing! I had to get my front tooth replaced (my son broke my real tooth) and they did an amazing job..I cannot tell the difference between my fake and my real!! I love the clean office, Diana at the front desk is so kind, they really take the time to get to know their patients. Could not recommend this place more!!
Just recently joined Definite Dental Solutions after moving to the area and have been very impressed with the professionalism and knowledge of the staff. Dr Thind explains everything to me in a way i understand and helps answer all questions very thoroughly. Adam has helped during my past 2 appointments and he has also been extremely friendly and knowledgeable. I always go in super nervous as I’m horrible with needles but they put me at ease and I always walk out with a brighter/whiter smile after each visit! Appointments also are very prompt and I never find myself waiting beyond my appointment start time which is a great bonus!
EVERYONE at this office is great. Dr. Thind, Cindy, Adam, Emma, and Diana are the dream team. This is a very warm, friendly, and caring environment. They genuinely want you to understand and be comfortable with everything from billing, to information regarding your dental health, to potential treatment options. This dentist office is by far the most trustworthy one I’ve been to and I’m very grateful to have been referred here.
Dr. Thind is amazing! I had to get my front tooth replaced (my son broke my real tooth) and they did an amazing job..I cannot tell the difference between my fake and my real!! I love the clean office, Diana at the front desk is so kind, they really take the time to get to know their patients. Could not recommend this place more!!
Just recently joined Definite Dental Solutions after moving to the area and have been very impressed with the professionalism and knowledge of the staff. Dr Thind explains everything to me in a way i understand and helps answer all questions very thoroughly. Adam has helped during my past 2 appointments and he has also been extremely friendly and knowledgeable. I always go in super nervous as I’m horrible with needles but they put me at ease and I always walk out with a brighter/whiter smile after each visit! Appointments also are very prompt and I never find myself waiting beyond my appointment start time which is a great bonus!
EVERYONE at this office is great. Dr. Thind, Cindy, Adam, Emma, and Diana are the dream team. This is a very warm, friendly, and caring environment. They genuinely want you to understand and be comfortable with everything from billing, to information regarding your dental health, to potential treatment options. This dentist office is by far the most trustworthy one I’ve been to and I’m very grateful to have been referred here.
FAQs
Keep it moist and call immediately — the sooner you're seen, the better the chance of saving it. Hold it by the crown, not the root, and place it in milk if possible.
Yes — pain plus swelling, fever, or trouble eating/swallowing requires prompt care. Don't try to tough it out.
Yes — we do everything we can to see you today. Call us at (847) 398‑0878, and we'll prioritize your case.
Don't Wait
Monday
8:00 am – 5:00 pm
Tuesday
10:00 am – 3:00 pm
Wednesday
9:30 am – 6:00 pm
Friday
8:00 am – 2:30 pm
Saturday
Closed
Sunday
Closed
Monday
8:00 am – 5:00 pm
Tuesday
10:00 am – 3:00 pm
Wednesday
9:30 am – 6:00 pm
Friday
8:00 am – 2:30 pm
Saturday
Closed
Sunday
Closed

Comprehensive, comfortable dental care for the whole family in Arlington Heights, IL.
© 2026 Definite Dental. All rights reserved.